颅内动脉粥样硬化性狭窄(intracranial atherosclerotic stenosis,ICAS)是缺血性卒中发生、发展和复发的重要原因,开展颅内动脉粥样硬化性狭窄的流行病学研究、全面加强国人对颅内动脉粥样硬化性狭窄的了解已成为当前医学界和社会的共识。
近日,我院脑卒中介入团队成功开展一例白驹球囊辅助开通大脑中动脉合并椎动脉V4段狭窄手术。
病史介绍:
患者基本信息:
患者男性,68岁,主诉:突发右侧肢体运动障碍1天
现病史:
患者1天前无诱因突发右侧肢体运动障碍,逐渐加重,不能站立及行走,无呕吐,无二便失禁,未行诊治,急来诊。
既往史:
反复脑梗塞1个月,未遗留明显后遗症,高血压7年,最高199/110mmHg,口服替米沙坦调节。
查体:
生命指征平稳,心肺听诊正常,右侧肢体肌力4级,右侧巴氏征阳性,NIHSS评分:4分。
术前影像学检查:
患者术前颅脑DWI:
术前诊断与讨论方案:
1.急性脑梗塞
2.左侧大脑中动脉狭窄
3.右侧椎动脉V4段狭窄
方案:患者反复发生脑梗塞3次、均为左侧大脑中动脉供血区,左侧大脑中动脉重度狭窄,为主要责任血管,患者梗塞病灶为分水岭区,有手术指征,安全起见给予强化降脂、抗血小板等内科治疗2周后行介入手术治疗。因患者为右椎动脉单支供血,术后担心控制血压引起右椎动脉V4段重度狭窄闭塞,拟同期行左MCA+右V4段狭窄血管成形术。
过程处理及影像:
1.改善脑循环、保护脑神经;
2.抗血小板(盐酸替罗非班4ml/小时+双抗);
3.监测并控制血压在140mmhg以内;
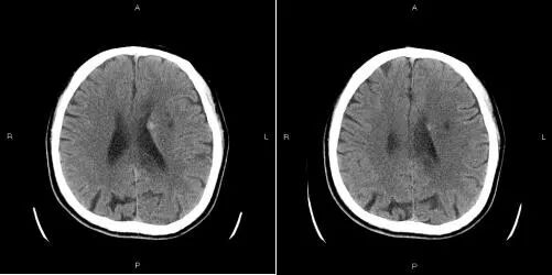
患者术后无任何不适。术后第一天复查颅脑CT发现左侧脑室旁少量渗血,停用盐酸替罗非班,考虑渗血面积较小,继续双抗治疗。

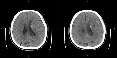
术后第二天复查颅脑CT渗血面积无增大密度略减低,继续双抗治疗。

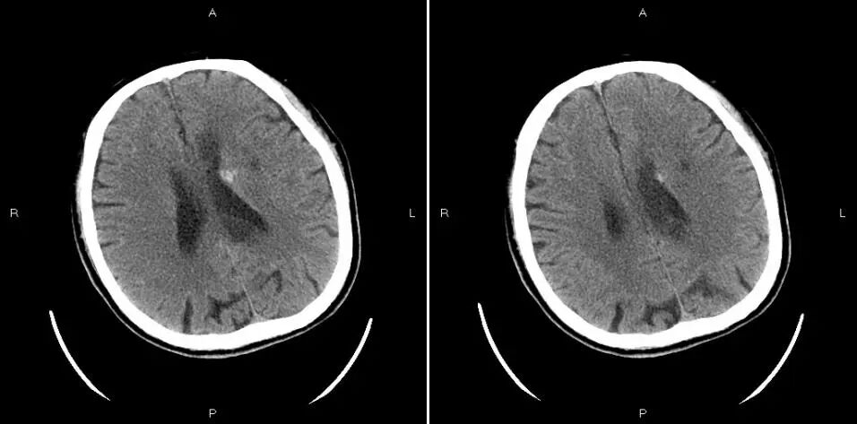
术后第七天复查颅脑CT渗血面积减小密度明显减低,继续双抗治疗。查体:右侧肢体肌力4级,右侧巴氏征阳性,NIHSS评分4分,出院。

病例总结:
1.手术时机:该病例患者大脑中动脉重度狭窄病变,短期内左侧大脑半球反复发生分水岭急性脑梗塞,具有手术指征。但考虑手术安全手术时机选择了给予强化内科治疗2周后行介入手术治疗。其他中心是否会选择急诊进行更积极的处理?
2.手术方案:该例患者前后循环均存在重度狭窄,因患者单椎供血如果只处理左MCA责任血管,担心术后控制血压导致单椎V4段重度狭窄闭塞,故选择了同期处理两处病变。是否其他中心会选择分期进行处理?
3.术中使用了通桥的白驹颅内球囊:该颅内球囊具有良好的通过和回抱性能,术中重复使用了同一球囊开通不同狭窄病变。第二次使用也能体会到球囊良好的到位与扩张性能。
我院专家介绍:

张义:
铁岭县中心医院卒中病房主任,主任医师。
毕业于延边大学,曾进修于北部战区总医院。从事临床工作29年,擅长缺血性及出血性脑血管病介入治疗,缺血性卒中管理。
辽宁省脑血管病临床医学协同创新联盟理事,辽宁省脑血管病临床医学协同创新联合会理事。
铁岭县中心医院脑卒中团队:

